Бережное исправление глубокого прикуса у взрослых и детей без боли и частых посещений врача.
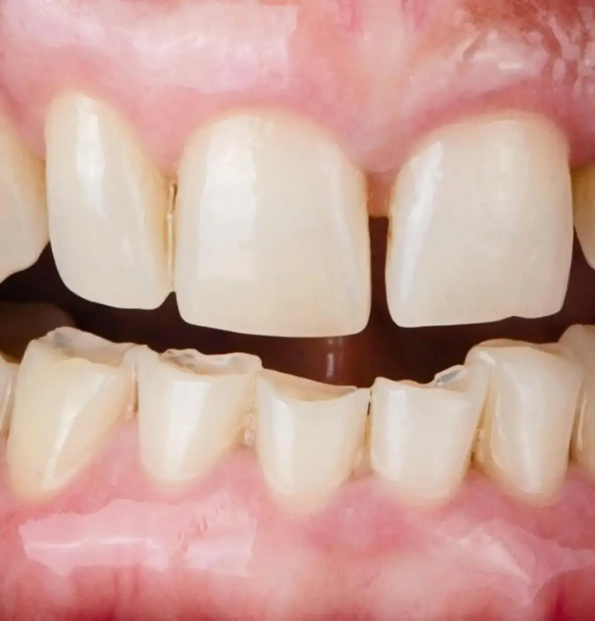
Глубокий прикус зубов — аномалия, при которой верхние резцы слишком (более чем на 1/3) перекрывают нижние при смыкании челюстей. В тяжелых случаях нижние зубы могут упираться в небо, травмируя слизистую оболочку и вызывая постоянный дискомфорт.
Генетика и наследственные особенности строения лицевого скелета
Внутриутробные нарушения на этапе развития плода
Ранняя потеря жевательных зубов, приводящая к постепенному снижению высоты прикуса вредные привычки в детстве, а именно сосание пальца, длительное использование пустышки.
Нарушение осанки - влияет на изменение положения челюстей относительно друг друга.
Симптомы глубокого прикуса у взрослых и детей видны при внешнем осмотре лица и в полости рта: укорочение нижней трети лица. Глубокое перекрытие, когда нижние резцы более чем наполовину скрыты под верхними. На внутренней стороне верхних зубов или десне нижних зубов снаружи видны следы от прикусывания. Изменение расположения подбородка из-за наличия дистальной или мезиальной окклюзии в сочетании с глубоким перекрытием. Выраженная надподбородочная складка.
Запишитесь на диагностику и узнайте, как элайнеры помогут решить проблему скученности зубов нижней и верхней челюстей и вернуть красивую улыбку.
Без своевременного исправления глубокий прикус у детей и взрослых приводит к разрушению зубов и проблемам со здоровьем. Постоянная травматическая нагрузка на отдельные зубы и ткани пародонта запускает необратимые процессы.
Повышенная стираемость передних и боковых зубов является одним из серьезных последствий глубокого прикуса, поскольку неправильное смыкание зубных рядов усиливает нагрузку на эмаль и дентин, приводя к ускоренному износу твердых тканей зуба.
Коррекция дистального положения зубов требует не только их выравнивания, но и правильного позиционирования в пространстве челюстей. Технология FlexiLigner позволяет это сделать максимальным комфортом для пациента.
Поэтапное создание правильных окклюзионных контактов максимально комфортным способом.
Лечение с помощью капп не затрудняет чистку зубов, а значит предотвращает вероятность возникновения кариеса.
Капы защищают слизистую от травмирования при смыкании зубов.
Безопасность для эмали
Нет риска деминерализации
Травматичность
Защищают слизистую от травм
Контроль силы
Точное дозированное давление
Гигиена
Полноценная чистка зубов каждый день
Эстетика
Абсолютно незаметны при ношении
Адаптация
Минимальный дискомфорт, который проходит в течение первых суток.
Прогнозируемость
Полная 3D-визуализация результата
Безопасность для эмали
Есть риск появления пятен под замками
Травматичность
Металлические элементы могут царапать щеки, губы
Контроль силы
Сила дуги может быть избыточной
Гигиена
Требуются специальные средства, более сложный уход
Эстетика
Видны металлические элементы
Адаптация
Возможна волнообразная боль и дискомфорт после активации дуги
Прогнозируемость
Более сложный прогноз
Проводится КТ-исследование и 3D-сканирование. Врач создает виртуальны й план лечения, моделируя конечный результат.
Вы получаете набор элайнеров для лечения глубокого прикуса. Каждая капа последовательно перемещает зубы, корректируя глубокий прикус.
После основного лечения используется ретенционная капа, которая фиксирует зубы в новом правильном положении и не дает аномальному прикусу вернуться.
Отзывы пациентов показывают результаты устранения глубокого прикуса до и после ношения элайнеров.
Выберете клинику для первичной консультации, где вам подробно расскажут возможности лечения именно вашего случая, учитывая все пожелания и ваши индивидуальные особенности.
С помощью элайнеров можно эффективно скорректировать глубокий прикус легкой и средней степени тяжести за счет выравнивания окклюзионной плоскости и контроля прорезывания зубов. При более серьезных аномалиях, ортодонт может использовать дополнительные приспособления. Большинство пациентов привыкает легко.
В первые 1-3 дня при смене капы возможен небольшой дискомфорт или давление, это нормально. Эти ощущения быстро проходят и гораздо мягче, чем с брекетами.
Большинство пациентов привыкает легко.
В первые 1-3 дня при смене капы возможен небольшой дискомфорт или давление, это нормально. Эти ощущения быстро проходят и гораздо мягче, чем с брекетами.
Большинство пациентов привыкает легко.







