Исправляем прямой прикус без брекетов за 6-12 месяцев по индивидуальной программе.
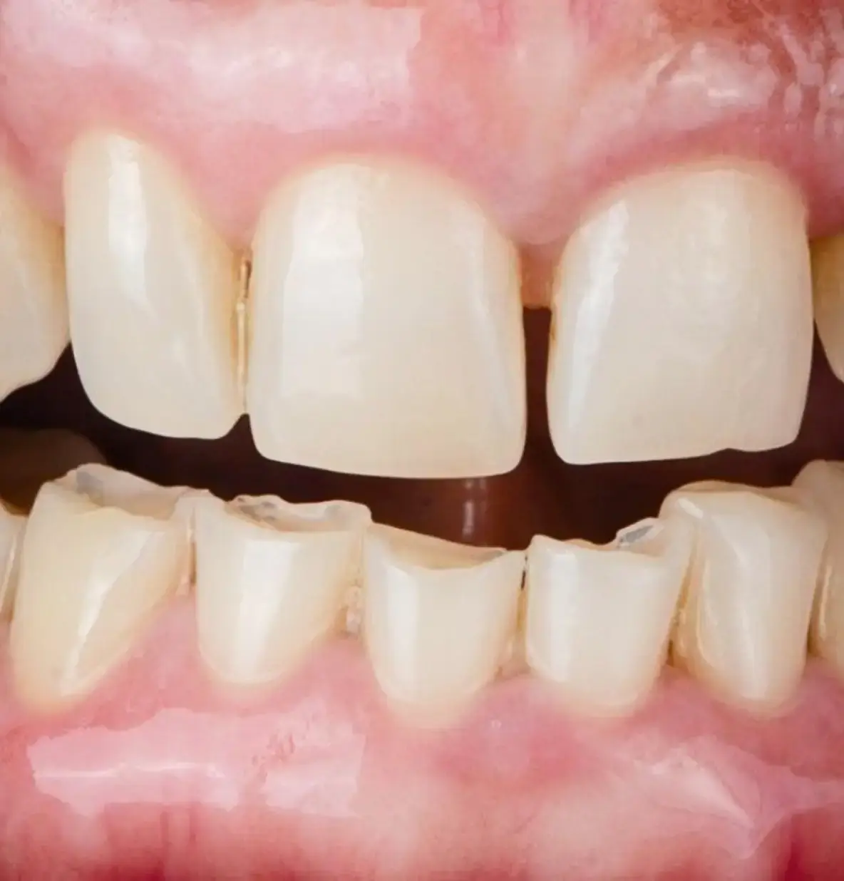
Прямой прикус у ребенка и взрослого— аномалия, при которой режущие края верхних и нижних резцов смыкаются стык встык. В отличие от физиологической окклюзии, где верхние зубы перекрывают нижние на 1\3-1\2 высоты коронки зуба, такое положение создает точечную перегрузку зубов, провоцируя их стираемость и дисфункцию ВНЧС, а также вынужденное смещение нижней челюсти.
Во время родов давление на голову младенца может привести к деформации костей черепа, нарушая нормальное положение челюстей относительно друг друга.
Если данная патология прикуса наблюдается у одного из родителей,велика вероятность проявления патологии и у ребёнка вредные привычки в детстве (сосание пальца, длительное использование пустышки)
Когда молочный зуб выпадает раньше положенного срока, соседние зубы начинают смещаться, занимая освободившееся пространство
Такие зубы могут вызывать смещение соседних единиц, нарушать рост постоянных зубов и формировать неправильный прикус.
Симптомы и признаки прямого прикуса: Отсутствие перекрытия в области передних зубов с закрытым ртом - зубы смыкаются стык в стык своими режущими краями; Повышенная стираемость эмали на режущих краях резцов; Щелчки или боль в височно-нижнечелюстном суставе (ВНЧС) при жевании - нарушения вызваны неправильным соотношением зубов и как следствие, перегрузкой суставов.
Запишитесь на диагностику и узнайте, как элайнеры помогут решить проблему прямого прикуса и вернуть красивую улыбку.
Без коррекции такое нарушение прогрессирует. Со временем возникает снижение высоты коронковой части зубов, что приводит к изменению пропорций лица. Из-за неравномерного распределения нагрузки при жевании повышается риск возникновения заболеваний пародонта. Таким образом, прямое соотношение резцов влияет не только на эстетику, но и на функциональные изменения зубочелюстной системы.
Прямой прикус способствует ускоренному стиранию эмали, приводящему к повышенной чувствительности зубов и образованию сколов. Это связано с чрезмерным контактом режущих краев верхних и нижних резцов при смыкании челюстей.
Технология 3D-моделирования позволяет точно спланировать будущее положение зубов, перемещая их в физиологическое положение с применением мягких сил. Без металла, боли и ограничений в питании.
Давление распределяется равномерно, исключая перегрузку ВНЧС.
Прозрачные элайнеры не видны даже при близком общении.
Снимайте элайнеры для фотографий и отслеживания прогресса коррекции.
Точность коррекции
3D-планирование каждого движения
Комфорт ВНЧС
Постепенное воздействие низкими силами защищает сустав от повышенной нагрузки
Гигиена
Свободная чистка зубов без помех
Сохранность эмали
Ниже риск деминерализации благодаря более простой процедуре чистки зубов
Сроки лечения
На 20-30% быстрее
Эстетика
Невидимость при общении
Дискомфорт
Отсутствует
Точность коррекции
Приблизительный расчет результата
Комфорт ВНЧС
Жесткая дуга усиливает нагрузку
Гигиена
Налет скапливается вокруг замков
Сохранность эмали
Риск пятен после снятия
Сроки лечения
Выше из-за невозможности выборочного воздействия на зубы
Эстетика
Металлические элементы видны
Дискомфорт
Возможное натирание губ и щёк
На основе цифрового сканирования моделируем этапы перемещения зубов. Врач демонстрирует вам финальный результат до старта лечения.
Вы получаете набор капп (количество капп определяется индивидуально), меняя их каждые 10-14 дней. Зубы плавно смещаются на 0.2 мм за шаг.
После коррекции прикуса изготавливаются ретейнеры. Они предотвращают рецидив, закрепляя новое положение зубов.
Отзывы пациентов показывают результаты лечения прямого прикуса до и после ношения элайнеров.
Выберете клинику для первичной консультации, где вам подробно расскажут возможности лечения именно вашего случая, учитывая все пожелания и ваши индивидуальные особенности.
Да, возраст не станет ограничением. Элайнеры FlexLigner эффективны даже в сложных случаях.
В первые 1-3 дня при смене капы возможен небольшой дискомфорт или давление, это нормально. Эти ощущения быстро проходят и гораздо мягче, чем с брекетами.
Большинство пациентов привыкает легко.
В первые 1-3 дня при смене капы возможен небольшой дискомфорт или давление, это нормально. Эти ощущения быстро проходят и гораздо мягче, чем с брекетами.
Большинство пациентов привыкает легко.







